‘Gosh what is that, it’s moving?!” Neurosurgeon Dr Bandi takes ITV News through the moment she pulled a worm out of a patient’s brain, as Nick Wallis reports
A neurosurgeon investigating a woman’s mystery symptoms in an Australian hospital was left “stunned” after plucking a wriggling worm from the patient’s brain.
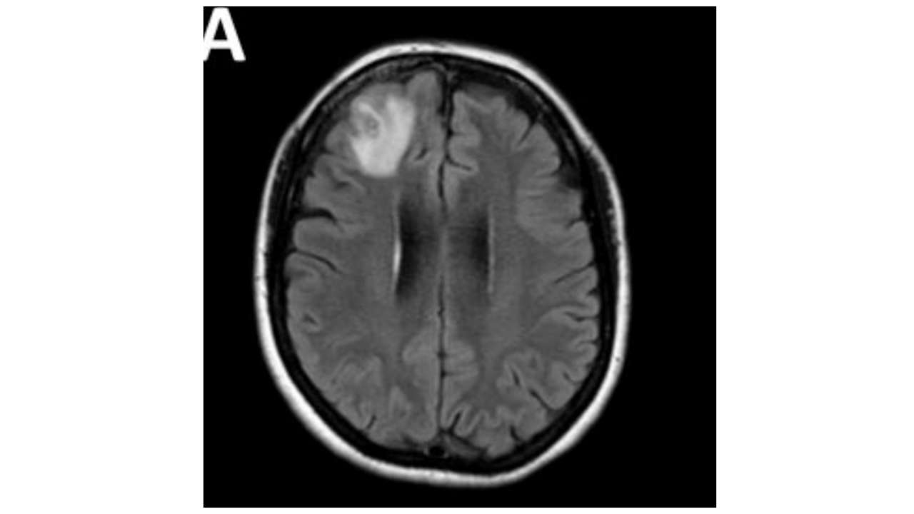
The woman, a 64-year-old, had been admitted to the hospital after experiencing forgetfulness and worsening depression over three months.
After scans showed changes in her brain, surgeon Dr Hari Priya Bandi performed a biopsy on the patient’s skull at Canberra Hospital last year and used forceps to pull out a three-inch parasite.
“I just thought: ‘What is that? It doesn’t make any sense,'” Dr Bandi told local media.
“But it’s alive and moving. It continued to move with vigour.”
“We all felt a bit sick,” she added of her operating team.

The creature was the larva of an Australian native roundworm not previously known to be a human parasite, named Ophidascaris robertsi.
The worms are commonly found in carpet pythons.
Dr Bandi and Canberra infectious diseases physician, Sanjaya Senanayake, are authors of an article about the extraordinary medical case published in the latest edition of the journal Emerging Infectious Diseases.
Mr Senanayake said he was on duty at the hospital in June last year when the worm was found.
“I got a call saying: ‘We’ve got a patient with an infection problem… We’ve just removed a live worm from this patient’s brain,'” he said.

A year earlier, she had been admitted to her local hospital in southeast New South Wales state with symptoms including abdominal pain, diarrhoea, a dry cough and night sweats.
The brain biopsy was expected to reveal a cancer or an abscess.
“This patient had been treated… for what was a mystery illness that we thought ultimately was an immunological condition because we hadn’t been able to find a parasite before and then out of nowhere, this big lump appeared in the frontal part of her brain,” Mr Senanayake said.
“Suddenly, with (Dr Bandi’s) forceps, she’s picking up this thing that’s wriggling.”
“She and everyone in that operating theatre were absolutely stunned,” Mr Senanayake added.
Dr Bandi said her patient regained conscious after the worm was extracted without any negative consequences.
“She was so grateful to have an answer for what had been causing her trouble for so very long,” Dr Bandi told WIN News television.
Six months after the worm was removed, the patient’s neuropsychiatric symptoms had improved but persisted, the journal article said.
She had returned home but remains under medical observation, and details of her current condition have not been made public.
The worms’ eggs are commonly shed in snake droppings which contaminate grass eaten by small mammals.
The woman lives near a carpet python habitat and forages for native vegetation called warrigal greens to cook.
While she had no direct contact with snakes, scientists hypothesise that she consumed the eggs from the vegetation or her contaminated hands.
Follow STV News on WhatsApp
Scan the QR code on your mobile device for all the latest news from around the country

























